Tandkød

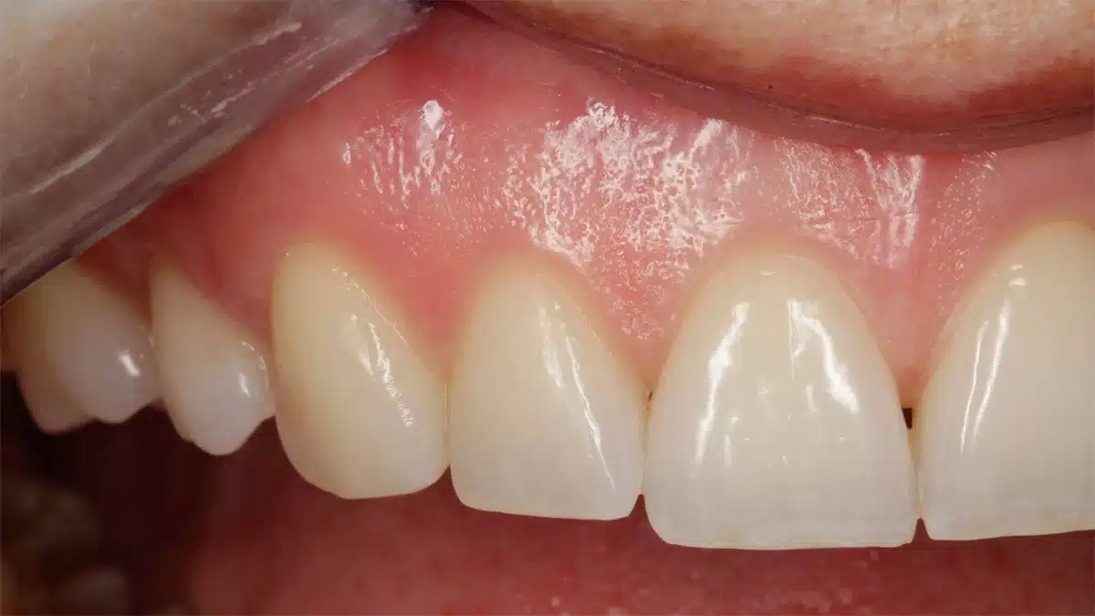
Kløende, hævet eller ømt tandkød er et af de mest almindelige tegn på irritation i munden. Her får du en enkel guide til, hvorfor tandkødet kan klø, hæve eller gøre ondt, og hvad du selv kan gøre for at lindre ubehaget. Sundt tandkød, lyserødt, fast og tæt omkring tænderne. Betændt tandkød, rødt, hævet og følsomt […]