Tandkød

Kløende, hævet eller ømt tandkød er et af de mest almindelige tegn på irritation i munden. Her får du en enkel guide til, hvorfor tandkødet kan klø, hæve eller gøre ondt, og hvad du selv kan gøre for at lindre ubehaget.

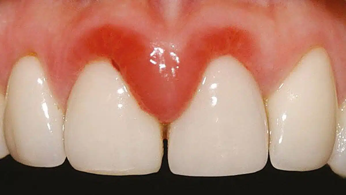
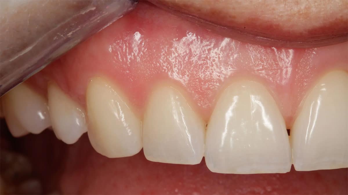
Eksempler på tandkød: sundt, betændt og ved smerte.

Indhold

Tandkød: Derfor kan det klø eller blive ømt

Tandkødet beskytter tændernes rødder og kæbeknoglen mod bakterier. Det består af fast væv, der normalt er lyserødt og fast. Når tandkødet bliver rødt, hævet eller begynder at klø, er det typisk et tegn på irritation, bakteriebelægninger eller begyndende betændelse.

Kløende tandkød: Typiske årsager og sammenhæng med forkølelse

Kløende tandkød kan have flere årsager. Ofte skyldes det irritation langs tandkødsranden eller begyndende tandkødsbetændelse. Men der findes også andre forklaringer:

  • Tandkødsbetændelse: Plak og bakterier langs tandkødet skaber rødme, kløe og ømhed.
  • Forkølelse eller allergi: Når slimhinderne hæver, kan tandkødet klø eller føles ømt.
  • For hård tandbørstning: Mekanisk irritation kan forværre problemet.
  • Graviditet: Hormonændringer påvirker blodcirkulationen i tandkødet.

Kløende tandkød ved forkølelse

Under en forkølelse kan kroppen reagere med hævede slimhinder og øget væskeophobning i tandkødet. Det får mange til at opleve en let kløe eller trykkende fornemmelse omkring tænderne. Symptomerne forsvinder oftest, når forkølelsen går over.

Tandkød klør under graviditet

Under graviditet øges blodgennemstrømningen i tandkødet. Det kan gøre vævet mere følsomt og føre til hævelse, ømhed og kløe. Grundig tandbørstning og brug af tandtråd er ekstra vigtig i denne periode.

Ondt i tandkød og kæbe

Hvis du oplever smerter i både tandkød og kæbe, kan det skyldes betændelse i tandkødet eller problemer med tandrødderne. Smerterne kan også stråle fra en visdomstand eller kæbespændinger.

Ondt i tandkødet mellem tænderne

Når du har ondt i tandkødet mellem tænderne, er årsagen ofte ophobet plak eller madrester i mellemrum, som irriterer vævet. Rens forsigtigt med tandtråd eller en mellemrumsbørste.

Ondt i tandkød og tænder

Samtidige smerter i tænder og tandkød kan være tegn på tandkødsbetændelse men også på en tandinfektion. Søg tandlæge, hvis smerterne ikke aftager efter få dage.

Hævet tandkød

Hævet tandkød er et klassisk tegn på irritation eller begyndende betændelse. Vævet hæver på grund af øget blodgennemstrømning, og det kan føles spændt eller ømt.

Hvis hævelsen ledsages af smerte, dårlig smag i munden eller blødning, bør du søge tandlæge. Det kan være tegn på infektion i tandkødslommen.

Hvad kan man gøre mod irriteret tandkød

Du kan ofte selv lindre let irritation i tandkødet med enkle tiltag:

  • Børst tænder med blød børste og mildt tryk
  • Brug tandtråd eller mellemrumsbørster dagligt
  • Skyl munden med vand eller saltvand efter måltider
  • Brug evt. klorhexidin i korte perioder
  • Undgå tobak og sukkerholdige drikke

Hvis tandkødet er meget ømt, kan du midlertidigt undgå at børste direkte på området, men hold resten af munden grundigt ren for at undgå yderligere irritation.

Betændelse i tandkød: Husråd og lindring

Ved mild betændelse kan et lunkent saltvandsbad (1 tsk salt i et glas vand) hjælpe med at dæmpe hævelse og ømhed. Skyl munden i 30 sekunder og gentag et par gange om dagen. Undgå stærke mundskyl eller hjemmelavede blandinger med alkohol, da de kan forværre irritationen.

Se også vores artikel om paradentose, en mere fremskreden form for tandkødsbetændelse, og se en kort video om tandkødsbetændelse (gingivitis) på sundhed.dk .

Ofte stillede spørgsmål om tandkød

Kløe i tandkødet skyldes ofte irritation fra bakterier eller tryk på tandkødet fx ved forkølelse, allergi eller hormonændringer. Hvis kløen varer ved, bør du få det undersøgt.

Hvis du har hævet, ømt eller blødende tandkød i mere end få dage eller smerter der spreder sig til kæben, bør du søge tandlæge. Det kan være begyndende tandkødsbetændelse eller paradentose.

Skyl munden med lunkent saltvand, børst forsigtigt og undgå irriterende fødevarer. Ved vedvarende hævelse kan tandlægen rense området og fjerne bakteriebelægninger.


Opdateret d. af